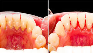
1 Malzemeyle Işık Işıl Dişler! ( Tartar, enfeksiyonlar, iltihaplı diş hastalıkları…)
Diş minesine bakılmadığında tartar oluşur ve bu tartarlar temizlenmezse, enfeksiyonlar oluşur ve iltihaplı diş hastalıkları ortaya çıkabilir.
Ceviz Kabuğu İle Diş Temizleme Kürü
Malzemeler :
- 40 gr kuru ceviz kabuğu
- 250 ml su
Yapılışı :
Kuru ceviz kabukları yaklaşık 20 dakika suda kaynatın. 20 dakika sonunda ocaktan alın ve soğumasını bekleyin.
Bu işlem günde üç defa tekrarlanabilir. Yani her diş fırçalamanız esnasında bunu uygulayabilirsiniz.
Kabuklu ceviz, tartarları ve diş lekelerini temizlemeye yardımcı olan güçlü bir antibakteriyel şifadır.
Görsel kaynaklar:
- https://i0.wp.com/healthinformative.net/wp-content/uploads/2016/03/Untitled-1.jpg?fit=765%2C410
İçerik Kaynakları :
- https://tr.pinterest.com/pin/181269953729540169/?lp=true
- http://www.healthtipsportal.com/10-effective-tricks-to-remove-plaque-and-tartar-be-your-own-dentist/
- http://www.bestherbalhealth.com/3-home-remedies-to-clean-teeth-plaque/





